Esthétique dentaire
L’esthétique dentaire permet d’embellir le sourire en corrigeant la couleur, la forme ou l’alignement des dents visibles. Au-delà de l’aspect cosmétique, ces soins renforcent souvent la confiance en soi et participent à un mieux-être global.
Selon les cas, nous pouvons éclaircir la teinte des dents grâce à un blanchiment personnalisé, ou encore poser des facettes en céramique pour harmoniser le sourire de manière naturelle et durable. Les restaurations visibles peuvent être remplacées par des matériaux esthétiques, conçus pour se fondre parfaitement avec vos dents naturelles.
Facettes dentaires
Les facettes dentaires permettent de corriger en toute discrétion la couleur, la forme ou l’alignement des dents visibles.
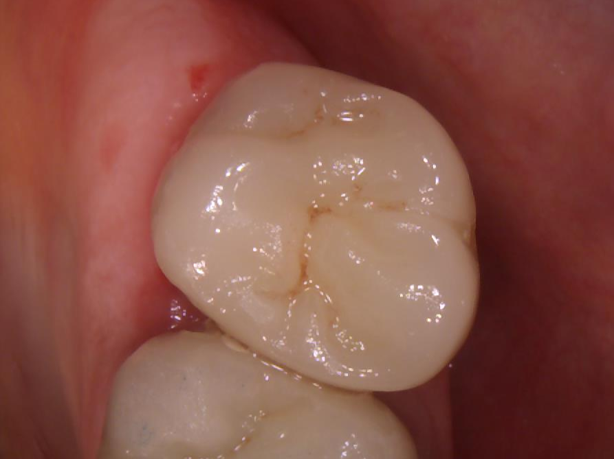
Inlay & Onlay
Les inlays et onlays permettent de restaurer une dent abîmée sans recourir à une couronne complète.
Eclaircissement Dentaire
L’éclaircissement dentaire permet d’éclaircir les dents en douceur et en toute sécurité.