Nos réalisations au cabinet

PHOTOS AVANT -APRèS

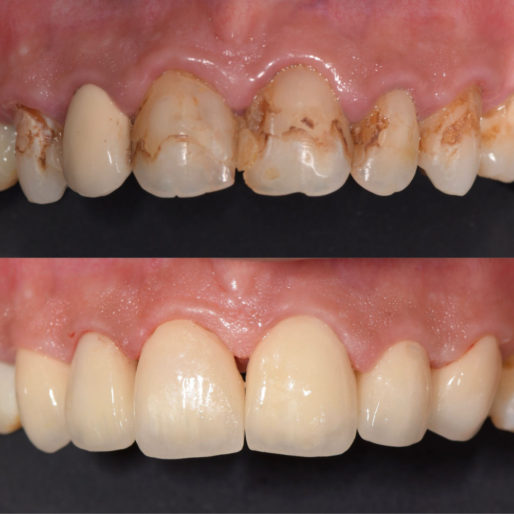
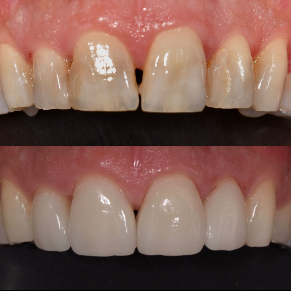
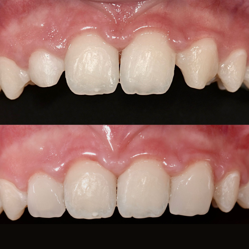
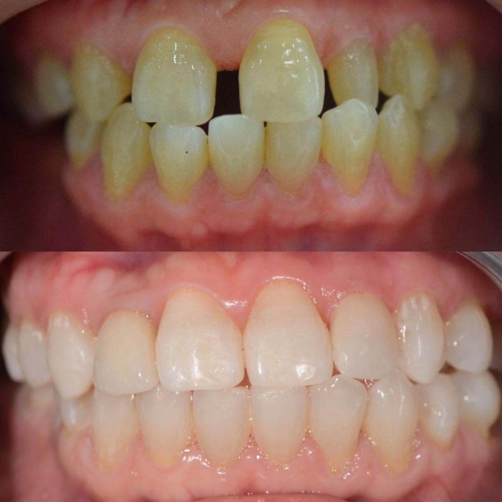
Au cabinet du Dr David Sinnonio, chaque sourire est unique. Grâce à une approche personnalisée et des traitements de haute qualité, nous accompagnons nos patients dans la transformation de leur sourire, avec exigence et précision.

Cette galerie présente quelques exemples concrets de cas traités au cabinet, illustrant les résultats obtenus en dentisterie esthétique, ou implantologie. Les photos avant/après témoignent de l’évolution fonctionnelle et esthétique apportée par nos soins.

Retour en haut