Réhabilitation globale implantaire
DENTISTE à BEAUSOLEIL
Réhabilitation globale implantaire
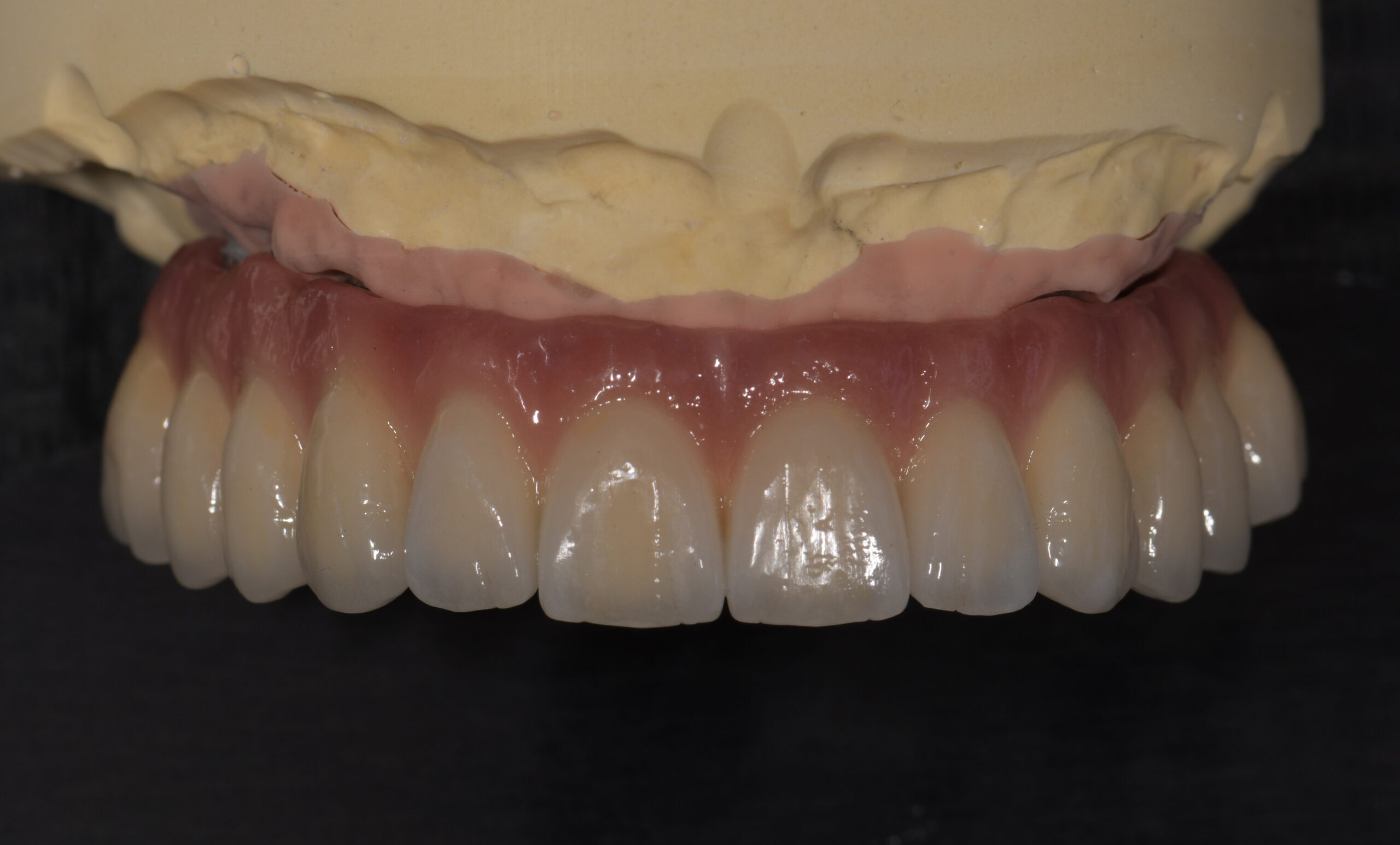
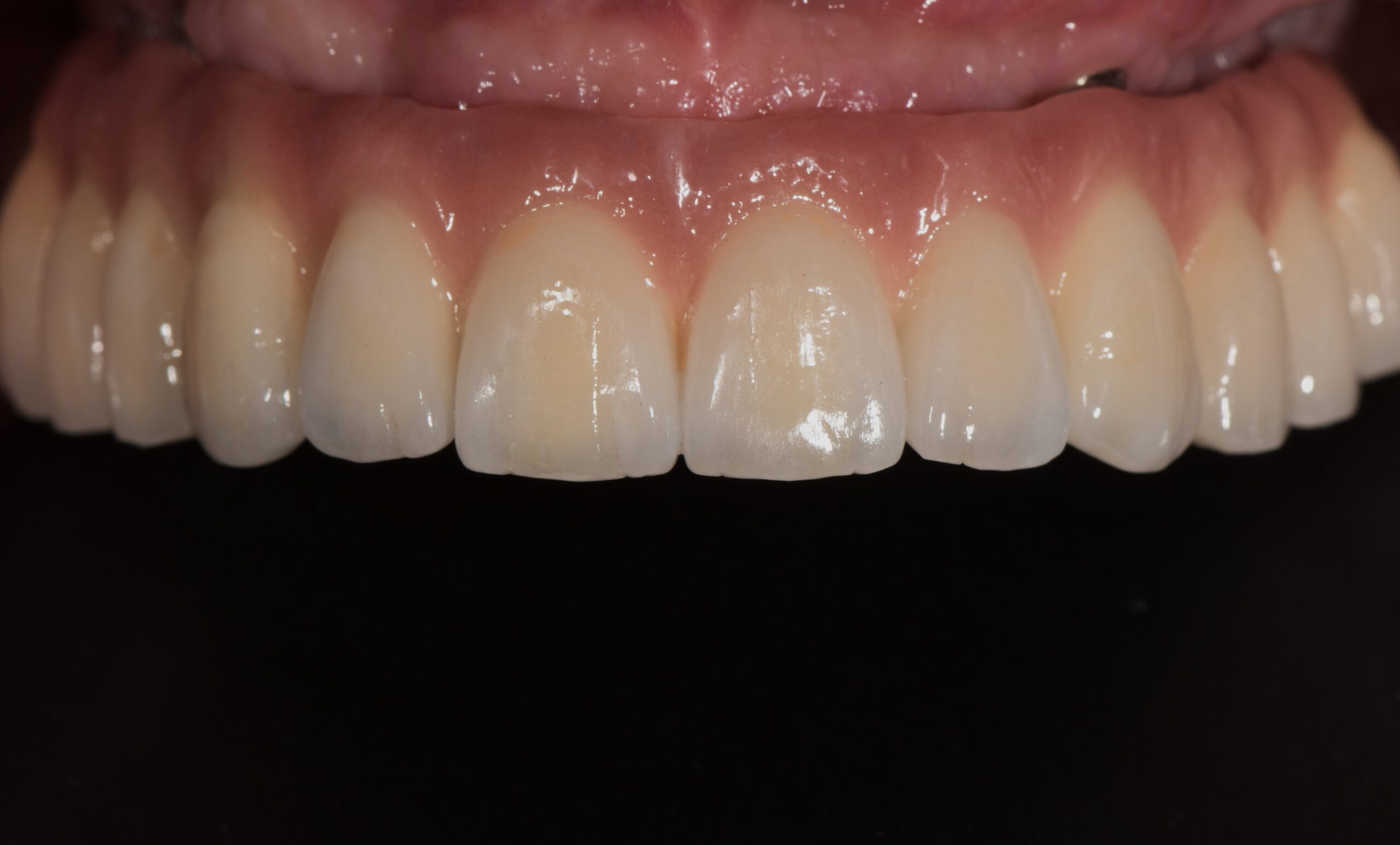
La réhabilitation globale implantaire permet de restaurer une mâchoire complète à l’aide de 4,6 ou 8 implants dentaires. Ces implants servent de piliers pour fixer un bridge complet, offrant ainsi une prothèse fixe et esthétique en un temps réduit.
C’est une alternative moderne aux dentiers amovibles, qui combine confort, stabilité et fonctionnalité avec un nombre d’implants limité.



Cas réalisé au cabinet
Une solution fixe pour remplacer toutes les dents
À qui s’adresse cette technique ?
Le protocole est recommandé pour les patients totalement édentés ou sur le point de perdre toutes leurs dents. Il peut être proposé en haut, en bas, ou sur les deux mâchoires.
Cette solution est idéale pour les personnes souhaitant:
- Retrouver un sourire fixe et naturel
- Éviter le port d’une prothèse amovible
- Gagner en confort au quotidien
Elle est aussi adaptée aux patients ayant un volume osseux réduit, grâce à l’inclinaison stratégique de certains implants.
Quels sont les avantages ?
La réhabilitation globale implantaire offre plusieurs bénéfices majeurs :
- Résultat immédiat : dans de nombreux cas, une prothèse transitoire peut être posée le jour même.
- Moins d’implants nécessaires : une solution plus légère et plus rapide à mettre en œuvre.
- Confort et esthétique : prothèse fixe, stable, sans mobilité ni gêne à la mastication.
- Préservation de l’os : les implants stimulent l’os et limitent sa résorption.
DENTISTE à BEAUSOLEIL
Comment se déroule le traitement ?
Après un bilan implantaire complet (scanner, étude osseuse, planification 3D), la chirurgie est programmée. Les implants sont posés selon un protocole précis, souvent en chirurgie guidée, pour garantir une position optimale.
Une prothèse transitoire est généralement fixée immédiatement ou dans les jours qui suivent. Une fois la cicatrisation terminée, la prothèse définitive est réalisée, offrant un résultat durable et fonctionnel.
Une nouvelle vie en quelques étapes
La réhabilitation globale implantaire est une solution globale qui transforme le quotidien. Manger, sourire, parler… tout devient plus simple et plus agréable avec une prothèse fixe et bien intégrée.
Ce traitement est aujourd’hui l’une des réponses les plus efficaces pour restaurer l’ensemble d’une dentition avec fiabilité, rapidité et esthétisme.